
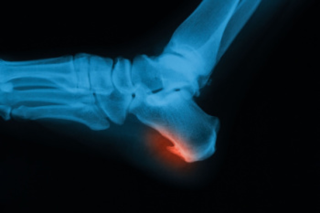
Heel spurs are bony growths that can form on the underside of the heel bone, often associated with plantar fasciitis. These spurs develop over time as a result of repetitive stress or tension on the foot. The primary cause is the strain placed on the plantar fascia, a thick band of tissue that connects the heel to the toes. As this tissue is repeatedly stretched or stressed, calcium deposits may accumulate, leading to the formation of a heel spur. Common symptoms include sharp pain in the heel, particularly when walking or standing after rest. Swelling and tenderness surrounding the heel area may also occur. Although heel spurs are often painless, they can cause significant discomfort and restrict normal movement if left untreated. If you have heel pain, it is suggested that you contact a podiatrist who can accurately diagnose a heel spur, and offer appropriate relief and treatment solutions.
Heel spurs can be incredibly painful and sometimes may make you unable to participate in physical activities. To get medical care for your heel spurs, contact Thomas Bobrowski, DPM from InStride Crystal Coast Podiatry. Our doctor will do everything possible to treat your condition.
Heels Spurs
Heel spurs are formed by calcium deposits on the back of the foot where the heel is. This can also be caused by small fragments of bone breaking off one section of the foot, attaching onto the back of the foot. Heel spurs can also be bone growth on the back of the foot and may grow in the direction of the arch of the foot.
Older individuals usually suffer from heel spurs and pain sometimes intensifies with age. One of the main condition's spurs are related to is plantar fasciitis.
Pain
The pain associated with spurs is often because of weight placed on the feet. When someone is walking, their entire weight is concentrated on the feet. Bone spurs then have the tendency to affect other bones and tissues around the foot. As the pain continues, the feet will become tender and sensitive over time.
Treatments
There are many ways to treat heel spurs. If one is suffering from heel spurs in conjunction with pain, there are several methods for healing. Medication, surgery, and herbal care are some options.
If you have any questions, please feel free to contact our office located in New Bern, NC . We offer the newest diagnostic and treatment technologies for all your foot care needs.


